【北京宣武医院】

您的位置:首页 >> 最新信息 >>文章浏览

膝关节骨关节炎的“补牙技术”——微创单髁置换术

日期:2016/4/14 0:00:00  来源:北京宣武医院

近期,我院骨科在沈惠良教授和曹光磊主任医师的带领下,成功为十余例相对年轻的重度膝关节骨关节炎患者进行了双柱Oxford活动平台单髁置换手术。

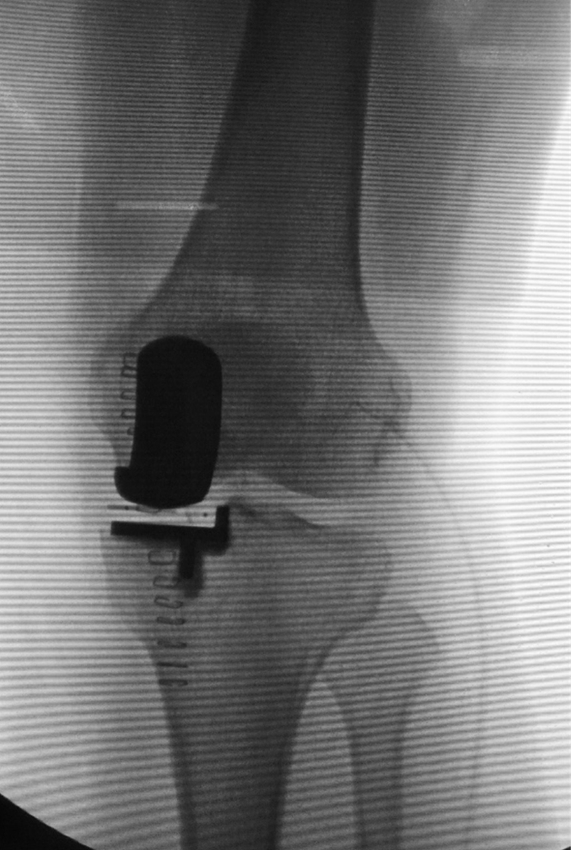
膝关节单髁置换术(Unicompartmental Knee Arthroplasty, UKA)是指应用髌腱内侧的小切口(仅有8至10厘米)和髌骨半脱位技术,对膝关节内侧或外侧间室进行表面置换,用以替代膝关节股、胫关节损坏的软骨表面。UKA是对膝关节软骨面磨损较重、症状较为集中的关节面进行局部置换,由于仅针对严重毁损的部分关节表面进行置换修复,而不是像全膝关节置换术那样将膝关节所有关节面去除,因此也被称为膝关节置换中的“补牙”技术。由于不需要去除前后交叉韧带,最大限度的保留了患者的本体感觉和关节功能,UKA具有创伤小、恢复快、最大限度保留骨量、并发症少和病人易于接受等优点,患者可以在术后1-2天就可以下地正常行走。

随着对单髁置换认识的不断提高,手术技术和假体设计的不断完善,UKA的术后效果不断提高。特别是Oxford活动平台的单髁置换术,基于假体的独特低磨损设计,根据最近的系列研究,假体10年的生存率可达到93%至100%。作为一种成熟的手术技术,为膝关节部分软骨磨损较重的骨关节炎患者带来了新的选择和希望。在保证相对年轻的重度骨关节炎(50-65岁)患者术后可以进行较活跃生活方式的同时,最大程度的推迟了患者进行全膝关节置换的时间。同时由于保留了骨量,使得这类患者将来需要进行全膝关节置换时的手术难度显著降低。另外,这种手术对于伴有部分关节磨损的高龄膝关节骨关节炎患者(>80岁)而言也是福音,由于手术创伤小,出血少,术后康复过程简单,相比于传统的全膝关节置换术,术后患者系统性并发症的风险显著降低。

基于对膝关节骨关节炎的临床研究不断深入,“阶梯性治疗”目前已经是膝关节骨关节炎治疗的一个先进性的理念,而单髁关节置换术是阶梯性治疗过程中非常重要的一个环节。该技术的成功开展,不但为深受膝骨关节炎病痛困扰的患者带来了福音,同时也标志着我院骨科对于膝关节骨关节炎的治疗水平有了进一步提高。

术中膝关节正位X线

术中膝关节侧位X线


术后第三天膝关节屈曲角度

术后第三天膝关节主动伸直角度

上一篇:

院党委召开领导班子“三严三实 ”专题民主生活会

下一篇:

患儿的出院礼物

Copyrights 2005-2018 导医网 版权所有